شنبه ۰۵ ارديبهشت ۱۴۰۵ - ساعت :
۲۷ فروردين ۱۴۰۵ - ۲۱:۲۰

خار پاشنه چطور ایجاد می‌شود؟

خار پاشنه چطور ایجاد می‌شود؟
خار پاشنه یا خار استخوانی، زائده‌ای استخوانی است که از پایین پاشنه پا، جایی که استخوان پاشنه به رباط بین پاشنه و قسمت برجسته پا (فاسیا یا نیام کف پا) متصل می‌شود، بیرون می‌زند.
کد خبر : ۷۳۴۵۴۶

به گزارش صراط به نقل از همشهری آنلاین، خار پاشنه به مرور زمان ایجاد می‌شود. اکثر افراد تا زمانی که برای درد پاشنه به پزشک مراجعه نکنند، متوجه وجود خار پاشنه خود نمی‌شوند. در حالی که خار پاشنه را می‌توان با جراحی برداشت، پزشکان اغلب درمان‌های غیرجراحی را برای کاهش علائم آن توصیه می‌کنند.

خار پاشنه چه ارتباطی با التهاب نیام کف‌پایی دارد؟

خار پاشنه و التهاب نیام کف‌پایی یا فاسئیت پلانتار بیماری‌های مرتبطی هستند، اما یکسان نیستند.

التهاب نیام کف پایی یا فاسئیت پلانتار زمانی اتفاق می‌افتد که به علت استفاده‌ یا فشار بیش از حد، نیام یا فاسیای کف پا (رباطی که بین پاشنه و قسمت جلوی پای شما قرار دارد) را کشیده یا پاره کند. اگر فاسئیت پلانتار دارید، احتمالاً درد شدید و تیرکشنده‌ای در پاشنه احساس خواهید کرد که در طول روز می‌آید و می‌رود. این درد پس از کمی راه رفتن کاهش می‌یابد، اما اگر بنشینید و سپس بلند شوید و کمی بیشتر راه بروید، دوباره برمی‌گردد.

خار پاشنه می‌تواند در واکنش به استرس و التهاب ناشی از فاسئیت پلانتار ایجاد شود. با گذشت زمان، بدن شما با ساختن بافت استخوانی اضافی به استرس پاسخ می‌دهد. این بافت اضافی به خار پاشنه تبدیل می‌شود. اکثر افراد از خار پاشنه خود دردی احساس نمی‌کنند، اما وقتی احساس درد می‌کنند، درد مانند درد التهاب نیام کف‌پایی یا فاسئیت پلانتار است.

علل ایجاد خار پاشنه

خار پاشنه پاسخ بدن شما به فشار و کشش وارده بر رباط‌ها و تاندون‌های پایتان است. به عنوان مثال، وقتی دچار التهاب نیام کف‌پایی می‌شوید، بدن شما با ایجاد خار پاشنه به فشار وارده پاسخ می‌دهد.

همچنین ممکن است به علت پاره شدن مکرر پوششی که استخوان پاشنه شما را می‌پوشاند یا به علت اختلال‌های راه‌ رفتن دچار خار پاشنه شوید.

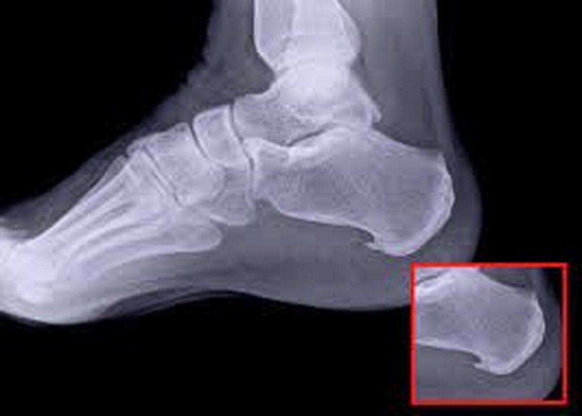
تشخیص

پزشک معمولاً پای شما را معاینه می‌کند و در مورد فعالیت بدنی که ممکن است باعث درد پاشنه شما شده باشد، سؤال می‌کند. در نهایت، عکس‌برداری با اشعه ایکس یکی از رایج‌ترین آزمایش‌هایی است که ارائه دهندگان خدمات درمانی برای تشخیص خار پاشنه استفاده می‌کنند.

درمان خار پاشنه چیست؟

پزشکان خار پاشنه را همانطور که التهاب نیام کف‌پایی یا فاسئیت پلانتار را درمان می‌کنند، درمان می‌کنند. دلیلش این است که درد پاشنه که به خار پاشنه نسبت داده می‌شود، در واقع ناشی از فاسئیت پلانتار است. درمان علائم فاسئیت پلانتار می‌تواند درد ناشی از خار پاشنه را کاهش دهد.

درمان معمول شامل موارد زیر است:

-استراحت دادن به پاشنه پا. اگر می‌دوید یا آهسته می‌دوید، استراحت به درد پاشنه شما کمک می‌کند.

-استفاده از کمپرس سرد یا یخ. کمپرس سرد می‌تواند به کاهش درد پاشنه کمک کند.

-مصرف داروهای ضدالتهاب خوراکی.

-پوشیدن کفش یا کفی‌هایی که از قوس پا پشتیبانی می‌کنند و با نرم کردن کف پا از فاسیای کف پا محافظت می‌کنند.

آیا برای خار پاشنه به جراحی نیاز دارم؟

خار پاشنه شما ممکن است به عنوان بخشی از جراحی التهاب نیام کف‌پایی برداشته شود، اما پزشکان به ندرت برای برداشتن خار پاشنه جراحی انجام می‌دهند.

آیا خار پاشنه بدون جراحی از بین می‌رود؟

خار پاشنه پس از تشکیل، دائمی است. جراحی تنها راه برداشتن خار پاشنه است. از آنجایی که خار پاشنه معمولاً درد ندارد، درمان بیماری که باعث خار پاشنه شده است باید به کاهش درد پاشنه شما کمک کند.

پیش‌آگهی

سایر بیماری‌ها معمولاً باعث خار پاشنه می‌شوند. درمان‌هایی وجود دارد که می‌تواند درد این بیماری‌های زمینه‌ای را کاهش دهد، اما جراحی تنها راه برای برداشتن خار پاشنه است. از پزشک خود بپرسید که آیا جراحی راه حل مناسبی برای مشکل خار پاشنه شماست یا خیر.

پیشگیری

عوامل متعددی خطر ابتلا به خار پاشنه را افزایش می‌دهند. برخی از عوامل چیزهایی هستند که می‌توانید فوراً یا با گذشت زمان تغییر دهید. برخی دیگر را نمی‌توانید تغییر دهید.

تغییراتی که می‌توانید همین الان ایجاد کنید

-اگر می‌دوید یا می‌دوید، سطوح نرم مانند چمن و مسیرهای پیاده‌روی را به جای سطوح سخت مانند پیاده‌رو و سنگفرش انتخاب کنید.

-کفش‌هایی بپوشید که مناسب و از قوس‌های پای شما پشتیبانی کنند.

-اگر روی کفپوش‌های چوبی یا کاشی راه می‌روید، دمپایی یا کفش بپوشید.

-نحوه راه رفتن خود را تنظیم کنید تا فشار کمتری روی پاشنه‌های شما وارد شود.

تغییراتی که می‌توانید با گذشت زمان ایجاد کنید

- وزن خود را کاهش دهید تا فشار کمتری روی پای خود وارد کنید.

-روال روزانه خود را تغییر دهید تا زیاد روی پاهایتان نباشید.

چیزهایی که نمی‌توانید تغییر دهید

- با افزایش سن، فاسیای کف پای شما انعطاف‌پذیری کمتری پیدا می‌کند، بیشتر مستعد آسیب می‌شود و احتمال ابتلا به فاسئیت پلانتار بیشتر می‌شود.

- به تدریج بالشتک‌های چربی طبیعی کف پای خود را از دست می‌دهید.

- پاهای چاق یا قوس‌ کف‌پایی بلندی دارید.

زندگی با خار پاشنه

خار پاشنه معمولا درد ندارد و با انجام اقداماتی می‌توانید از دردناک شدن آن پیشگیری کنید:

-فعالیت‌هایی را که درد پاشنه شما را بدتر می‌کنند، کاهش دهید.

-مطمئن شوید که کفش‌های مناسبی دارید که از قوس کف پای شما پشتیبانی می‌کنند.

چه زمانی باید به پزشک مراجعه کنم؟

اگر درمان‌های درد پاشنه به نظر کمکی نمی‌کند، با پزشک خود صحبت کنید. در حالی که خار پاشنه همیشه درد ندارد، درد مداوم پاشنه ممکن است نشانه این باشد که زمان آن رسیده است که درمان‌های دیگری را امتحان کنید یا سایر مشکلات احتمالی را بررسی کنید.