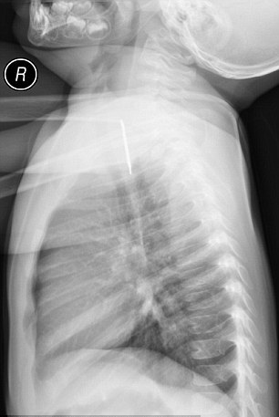
صراط: پزشکان در کشور عربستان سعودی از مشاهده تصویر یک عروسک که داخل مری یک کودک 16 ماهه گیر کرده بود شوکه شدهاند.
گفتنی است: این کودک نوپای 16 ماهه آویز گردبند خواهر خود را بلعیده بود و دچار علائمی مانند تنگی نفس و مشکل در بلع شده بود.
بررسیها نشان میدهند، پزشکان در ابتدا پی نبرده بودند که چه مشکلی برای این کودک پیش آمده است و با انجام عکسبرداری اشعه ایکس موفق به ردپای این شی در مری او شدهاند.
نکتهی منحصر به فرد در این حادثه بدست آمدن یک تصویر کاملا واضح از گردن آویز است به طور که حتی جزئیات آن نیز قابل مشاهده است و کارشناسان این پدیده را شگفت انگیز در دنیای تصویر برداری اشعهX ذکر کردهاند.
گفتنی است: این کودک نوپای 16 ماهه آویز گردبند خواهر خود را بلعیده بود و دچار علائمی مانند تنگی نفس و مشکل در بلع شده بود.
بررسیها نشان میدهند، پزشکان در ابتدا پی نبرده بودند که چه مشکلی برای این کودک پیش آمده است و با انجام عکسبرداری اشعه ایکس موفق به ردپای این شی در مری او شدهاند.
نکتهی منحصر به فرد در این حادثه بدست آمدن یک تصویر کاملا واضح از گردن آویز است به طور که حتی جزئیات آن نیز قابل مشاهده است و کارشناسان این پدیده را شگفت انگیز در دنیای تصویر برداری اشعهX ذکر کردهاند.



