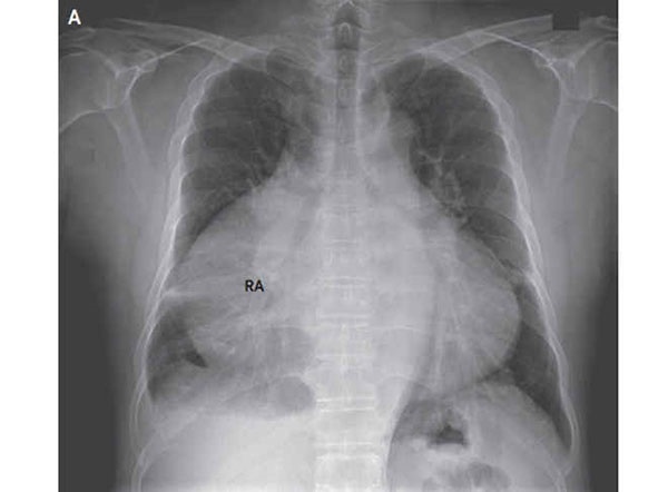
به گزارش همشهری آنلاین و به نقل از لايوساينس، پزشكان با تصويربرداريهاي مكرر از قفسه سينه اين بيمار دريافتند دهليز سمت راست قلب وي، يكي از چهار حفره قلبي، به شدت بزرگ شدهاست.
به دليل بزرگشدن دهليز، نسبت قلبي سينهاي اين مرد به 0.82 رسيدهبود. اين نسبت براساس پهناي قلب در برابر پهناي قفسه سينه به دست ميآيد. به بياني ديگر قلب اين مرد 82 درصد از فضاي عرضي درون قفسه سينه او را اشغال كردهاست. نسبت عادي قلب به قفسه سينه بايد 0.5 باشد، يعني قلب بايد كمتر از 50 درصد از عرض فضاي درون قفسه سينه انسان را اشغال كند.
به گفته محققان كلينيك كليولند در اوهايو، دهليز راست قلب مسئوليت دريافت خوني را دارد كه از بدن به سمت قلب بازگشتهاست و خون از اين دهليز به درون حفره پاييني كه بطن راست نام دارد فرستاده ميشود و پس از آن نيز از اين بطن به سوي ريهها ميرود تا اكسيژن دريافت كند.
پزشكان احتمال ميدهند بزرگي قلب در اين مرد مادرزادي بودهاست، با اينهمه عوامل زيادي ميتوانند به بزرگ شدن دهليز قلب منجر شوند. براي مثال شرايطي كه باعث جريان بيش از اندازه خون در قلب شود باعث بزرگتر شدن دهليز خواهد شد زيرا اين حفره با افزايش ميزان خون به فضاي بيشتري براي گنجاندن خون اضافه نياز خواهدداشت.
مشكلاتي در عروق خوني درون قلب از جمله سوراخشدن يا باريك بودن دريچه تريكوسپيد يا دريچه ريوي و ايجاد سوراخ ميان حفرههاي قلبي ميتوانند به افزايش جريان و فشار خون درون قلب و در نهايت به بزرگ شدن دهليز راست قلب منجر شوند. در چنين شرايطي جريان خون درون بدن مختل شده و منجر به تورم شديد اندامهاي پاييني بدن خواهد شد. اين رويداد همچنين خطر لخته شدن خون و انتقال آن به ريه يا قلب را نيز در پي دارد.
